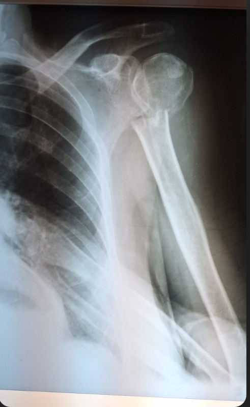
I urgently need shoulder replacement surgery after falling and badly breaking my arm at the joint. I don’t have insurance for this and let’s be honest, who’s got $11,000 just lying around? If I don’t have the surgery I’m facing the loss of use in that arm. I’m throwing out Hail Marys at this point because the pain is extraordinary and I am desperate to get this chapter done and over with. I’ve raised almost $4,000 so far but will need more for caregivers and travel and physical therapy. I am so grateful for the folks who have already donated to help me, and every little bit helps. I am forever grateful to them and would be so grateful to any other others who can help out. Thank you and much love.
About this fundraiser
Organized by
Pauline Barraza
Lancaster, CA, USA
OrganizerSimilar fundraisers
Make a difference by donating to similar fundraisers.
Please donate to comment.
{{dame(anonymous, user, donor_name)}} | {{curr(amount,'USD')}}
{{created_at_rel}}{{note}}